Studi Pada Kerusakan Paru-paru Jenazah Pasien Covid-19 Tunjukkan Penyebab Terjadinya Long Covid
Selama pandemi virus corona, ada sebuah fenomena atau sindrom yang disebut "Long Covid," di mana pasien masih merasakan gejala pasca-infeksi Covid-19.
TRIBUNPALU.COM - Pandemi virus corona Covid-19 telah berlangsung selama hampir satu tahun setelah kasus pertama teridentifikasi di China pada Desember 2019.
Dalam kurun waktu tersebut, tabir misteri yang melingkupi penyakit Covid-19 mulai sedikit demi sedikit terbuka, termasuk fenomena yang dikenal sebagai "Long Covid."
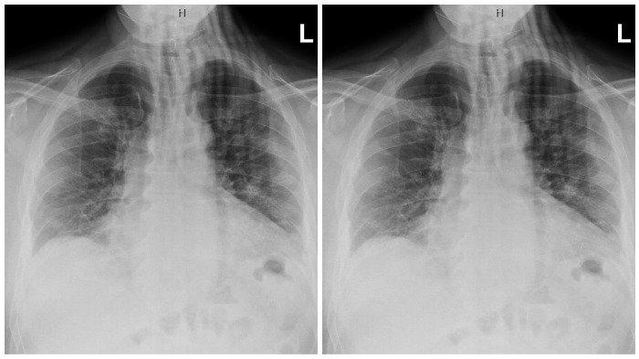
Sebuah penelitian terhadap paru-paru orang yang meninggal dunia karena Covid-19 telah menemukan kerusakan paru-paru persisten dan ekstensif dalam banyak kasus.
Hal ini dapat membantu para dokter untuk memahami apa yang ada di balik sindrom atau fenomena "Long Covid."
Baca juga: Indonesia Calonkan Diri Jadi Tuan Rumah Olimpiade 2032, Jokowi akan Kunjungi Markas IOC di Swiss
Baca juga: Di Tengah Sengitnya Pilpres AS 2020, Amerika Serikat Resmi Keluar dari Paris Agreement
Baca juga: Jerinx Dituntut 3 Tahun Penjara, Nora Alexandra Ingatkan Suami untuk Selalu Sabar: Seng Legowo
Long Covid adalah kondisi di mana pasien masih menderita gejala yang berkelanjutan selama berbulan-bulan, bahkan setelah dinyatakan sembuh.
Para ilmuwan yang mengadakan penelitian ini mengatakan, mereka juga menemukan beberapa karakteristik unik SARS-CoV-2, virus penyebab Covid-19.
Karakteristik itu kemungkinan bisa menjelaskan mengapa virus ini dapat menyebabkan kerusakan semacam itu di paru-paru pasien Covid-19.
"Penemuan ini menunjukkan bahwa Covid-19 bukan hanya penyakit yang disebabkan oleh kematian sel yang terinfeksi virus, tetapi kemungkinan juga merupakan konsekuensi dari sel-sel abnormal yang masih bertahan di dalam paru-paru," kata Mauro Giacca, seorang profesor di King's College, London yang ikut memimpin studi ini.
Tim peneliti menganalisis sampel jaringan dari paru-paru, jantung, hati, dan ginjal dari 41 pasien yang meninggal dunia karena Covid-19 di Rumah Sakit Universitas Trieste Italia antara Februari dan April 2020.
Dalam sebuah wawancara telepon, Mauro Giacca mengatakan, sementara tim peneliti tidak menemukan tanda-tanda infeksi virus atau peradangan berkepanjangan pada organ lain.
Akan tetapi, mereka menemukan "kerusakan yang sangat besar pada anatomi paru-paru", dengan jaringan sehat "yang hampir seluruhnya digantikan oleh jaringan parut atau keloid (scar tissue)."
Baca juga: Pilpres AS 2020 Berlangsung Panas, Simak Daftar Kekayaan Joe Biden dan Donald Trump
Baca juga: Studi: 130.000 Kematian akibat Covid-19 Bisa Dicegah Jika Pemerintah AS Bertindak Lebih Cepat
Baca juga: Studi Terbaru Sebut Orang yang Sembuh dari Covid-19 Bakal Kebal dari Infeksi Corona Selama 5 Bulan
KERUSAKAN MASIF
"Bisa dibayangkan dengan baik bahwa salah satu alasan mengapa ada kasus Covid-19 yang berkepanjangan (long Covid) adalah kerusakan parah pada paru-paru (jaringannya)," katanya kepada Reuters.
"Bahkan jika seseorang sembuh dari Covid-19, skala kerusakan yang ditimbulkan masih bisa sangat besar," lanjutnya.
Bukti yang berkembang dari seluruh dunia menunjukkan, sebagian kecil orang yang pernah menderita Covid-19 dan pulih dari infeksi awal dapat mengalami berbagai gejala.
:quality(30):format(webp):focal(0.5x0.5:0.5x0.5)/palu/foto/bank/originals/lungs-covid.jpg)